澳门赌场招聘-赌场有哪些_免费百家乐追号软件_全讯网最新资讯网址 (中国)·官方网站

In the Media

[newsgd.com] Doctors remove 13kg of breast tissue for patient with gigantomastia

Source: newsgd.com 2022-08-10 Written by: Hannah, Lanting Edited by: Wang Dongmei

Li Haiyan, director of breast surgery, and her team from the Sixth Affiliated Hospital of Sun Yat-sen University, recently completed a breast reduction for a female patient with gigantomastia. The operation removed 13 kilograms of excess breast tissue and reshaped both breasts to help the patient return to a healthy life.

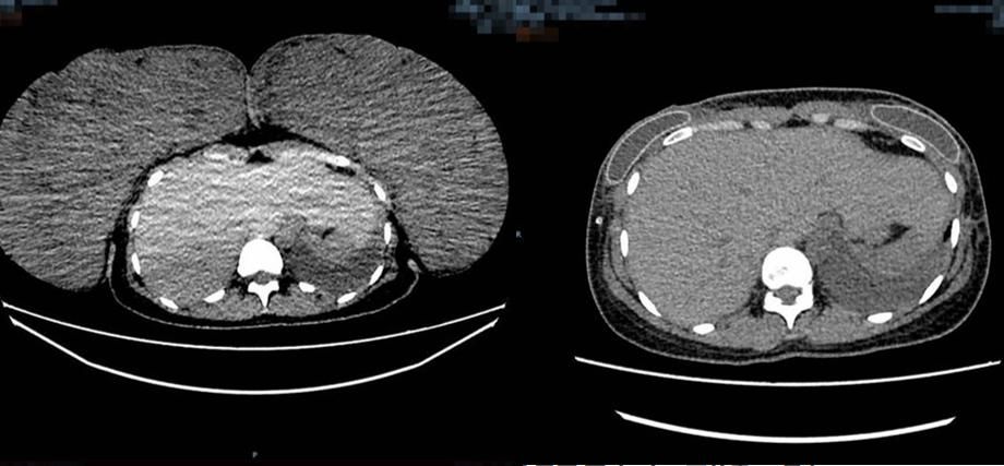
Comparison of the patient's chest enhancement CT. Preoperative size (left): 267 mm×100 mm×293 mm, postoperative size (right): 125 mm×270 mm×340 mm.

(Photo provided to Newsgd.com)

The patient, surnamed Wang (assumed name), 29 years old, came from Maoming. She had a sudden enlargement of both breasts after her first pregnancy two years ago. Accompanied by intermittent swelling and pain, Wang's breast cups rapidly developed from B to F in three months. However, she miscarried for some reason.

This year, Wang became pregnant again and then induced labor. Her breast cups developed from F to Q, and the oversized breasts seriously affected her daily life.

After examinations, Doctor Li Haiyan diagnosed Wang with gigantomastia.

Gigantomastia refers to an overgrowth of the female breasts, which is manifested by excessive breast volume and obvious physical imbalance. This condition is often seen in adolescent girls or young women, which is caused by abnormal sensitivity of the mammary glands and adipose connective tissue to estrogen.

In Surgery. (Photo provided to Newsgd.com)

"Female breast tissue growth during pregnancy is quite common because of estrogen secretion. However, it is rare to see changes as pronounced as Wang's." Li said, Wang has a relatively long medical history, and the blood vessels and ligaments inside her breasts have been stretched by the sagging breasts for a long time. After performing the surgical excision, the team also needed to reconstruct healthy breasts for Wang.

The entire surgery lasted for nearly 9 hours, with 13 kilograms of excess breast tissue removed, while a nipple-areola complex tissue grafting was successfully performed to reshape Wang's breasts.

After the surgery, Wang was transferred from the ICU to the general ward on the following day. Gradually, she was able to walk and exercise in the ward after several weeks of comprehensive treatment and care. "I feel relieved and can breathe better," said Wang.

Link to the report: https://www.newsgd.com/node_99363c4f3b/6124be14c0.shtml


百家乐官网压分规律| 百家乐官网庄闲出现几率| 百家乐官网真钱送彩金| 月华百家乐官网的玩法技巧和规则 | 百家乐投注庄闲法| 百家乐平注秘籍| 百家乐官网博娱乐平台| 2024年九运| 摩纳哥百家乐的玩法技巧和规则| 扬中棋牌游戏中心| 百家乐官网开户最快的平台是哪家| 百家乐游戏单机牌| 联兴棋牌| 百家乐官网智能系统| 百家乐官网正式版| 做生意的风水朝向| 威尼斯人娱乐成| 太阳城百家乐官网分析解码| 大发888娱乐城下载电脑怎么上乐讯新足球今日比分 | 真人百家乐宣传| 博彩资讯| 风水8闰24山| 太阳城百家乐官网群| 百家乐官网制胜法| 阿合奇县| 百家乐是个什么样的游戏| 百家乐官网改单软件| 威尼斯人娱乐城官网| 做生意门面朝向风水| 澳门百家乐官网技术| 伟博百家乐娱乐城| 皇冠百家乐官网的玩法技巧和规则 | 属虎与属鼠做生意好吗| 在线百家乐官网合作| 百家乐群dmwd| 百家乐官网搏牌| 丹东亿酷棋牌下载| 百家乐扎金花斗地主| 百家乐官网红桌布| 中金时时彩平台| 帝王百家乐的玩法技巧和规则|