澳门赌场招聘-赌场有哪些_免费百家乐追号软件_全讯网最新资讯网址 (中国)·官方网站

媒體中大

  • 【中國網】 六旬男子在中山五院“換肝重生”

    近日,中山大學附屬第五醫院(中大五院)普外科主任、肝膽外科主任、肝移植專科主任李堅教授團隊成功為64歲的肝癌患者溫伯進行了肝移植手術。術后兩周,移植的肝臟功能正常,患者現已順利恢復出院。30年他從患乙肝到“換肝”30年前,溫伯查出了乙肝,醫生建議其吃抗病毒藥物治療,但他沒有當回事,“感覺得乙肝的人有很...

  • 【南方日報】中國科學院院士、南方海洋實驗室主任陳大可:用源頭創新和關鍵技術壯大"藍色引擎"

    近日,一場防臺風綜合演習在珠海金灣風電場水域進行。南方海洋科學與工程廣東省實驗室(珠海)(下稱“南方海洋實驗室”)派出搭載無人艇、無人機的全球首臺智能型無人系統科考母船“珠海云”,實時拍攝現場畫面、分析漂移路徑,助力快速找到落水人員。“發展海洋新質生產力,離不開源頭創新和關鍵技術。”中國科學院院...

  • 【人民日報】孫逸仙紀念醫院AI新系統“上線”!甲狀腺結節良惡性診斷更準確

    AI協助診斷甲狀腺細針穿刺細胞學將有望解決甲狀腺結節診斷臨床痛點。近日,中山大學孫逸仙紀念醫院細胞分子診斷中心研究團隊參與開發了一個名為ThyroPower (甲狀腺WSI圖塊導向集合識別系統)的系統。據介紹,該系統有很高的靈敏性和特異性,能快速、準確地對甲狀腺結節進行細胞病理診斷,顯著提升細胞病理學家診斷的準...

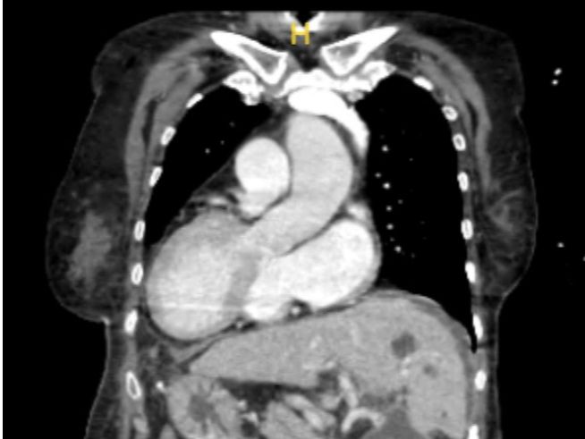
  • 【人民日報】心臟在右、肝臟在左,逸仙團隊為“鏡面人”完成全內臟反位肝移植

    趙女士(化名)是發生率僅為約兩萬分之一的全內臟反位人群,即俗稱的“鏡面人”。67歲的她體內的器官和常人完全相反,近日,中山大學孫逸仙紀念醫院副院長劉超教授帶領醫院肝移植團隊為身患肝功能衰竭、肝癌等疾病的趙女士成功開展了全內臟反位肝移植術。手術順利進行,團隊用精湛的技巧克服全內臟反位的困難,助“鏡面...

  • 【廣州日報】“患”位思考,優化服務,中大五院多措并舉提升患者就醫體驗

    日前,廣州日報新花城記者獲悉,2023年以來,中山大學附屬第五醫院圍繞方便居民就醫、優化服務提供、簡化就醫流程、改善服務體驗、提升智慧就醫、環境配適老弱幼重點人群等多個方面,推出了多項舉措,進一步增強人民群眾就醫獲得感、幸福感和安全感。加強門診服務保障醫院開設一站式預約、診間預約、自助預約等全方位互...

  • 【人民日報】中山大學:以教育家精神引領高水平教師隊伍建設

    教師是教育高質量發展的第一資源,教師隊伍建設是建設教育強國最重要的基礎工作。習近平總書記提出中國特有的教育家精神,作出大力弘揚教育家精神的重要指示,為新時代教師隊伍建設指明了前進方向。中山大學認真學習貫徹習近平總書記的重要指示精神,以教育家精神引領高水平教師隊伍建設,以高水平教師隊伍支撐學校高質...

  • 【羊城晚報】肖靜華、吳小龍、謝康、吳瑤:信息技術驅動中國制造轉型升級

    黨的二十大報告提出2035年基本實現新型工業化。2023年9月,全國新型工業化推進大會召開,習近平總書記作出重要指示,“新時代新征程,以中國式現代化全面推進強國建設、民族復興偉業,實現新型工業化是關鍵任務”。這為我國工業和信息化事業發展指明了前進方向、提供了根本遵循。新型工業化是發展新質生產力的主陣地,是...

  • 【南方日報】海洋旅游專家、中山大學副教授高俊:海島游是廣東海洋旅游潛力板

    ■旅游強國策·專家談⑤深中通道開通、南沙郵輪母港復航……隨著粵港澳大灣區加速互聯互通,南下北上“雙向奔赴”正讓海洋資源發揮更大價值。在大灣區,海洋旅游作為海洋產業的重要組成部分,正迎來重要發展機遇。如何協同各地之力,共同推動海洋旅游提品質、樹品牌、造聲量?南方日報記者日前專訪海洋旅游專家、聯合國教...

  • 【人民日報】膽囊巨大腫物疑似患“癌王”?中山二院專家辨出少見炎癥、微創除患者頑疾

    60歲的維吾爾族女士古麗克孜(化名)受飯后腹痛的困擾近3個月,CT檢查出膽囊內長了一個“茄瓜大小”的巨大腫瘤。“膽囊癌可能性很大,且這種情況需要進行切口巨大的開腹手術。”中山大學孫逸仙紀念醫院援疆專家、膽胰外科唐啟彬副教授介紹。結合檢查情況,唐啟彬副教授決定先為古麗克孜開展腹腔鏡探查,最終確診只是一例...

  • 【南方日報】徐現祥、畢青苗:優化營商環境要破解"三個不平衡

    ●高質量發展需要經營主體量的合理增長,更需要經營主體質的有效提升,優化高質量發展營商環境需要從便利化轉向提質化階段●不同產業發展階段不同、市場競爭結構不同、面臨的內外部環境不同,各產業經營主體面臨的困難和訴求隨之不同,因此既需要標準化營商環境建設,又需要差異化營商環境建設●各地要因地制宜,構建服...

  • 【光明社教育家】中山大學校長高松:打破院系、學科、專業壁壘,培養能夠引領未來的創造性人才 | 發展新質生產力,教育何為?

    人才引育要尊重人才成長規律《教育家》:高校長,隨著新一輪的科技與產業變革加速,國家戰略需求與教育、科技、人才供給之間的平衡成為新的考驗。加快發展新質生產力,您認為高校需要做好哪些工作,如何深化體制機制改革,改善人才發展和科研創新環境、營造良好學術生態,促進教育、科技、人才一體化良性循環?高松:發...

  • 【新華社】中山大學護理學院赴西藏民族大學醫學院推進對口幫扶工作

    6月24日至26日,中山大學護理學院黨委書記陳昌齡帶隊赴西藏民族大學醫學院開展對口幫扶工作,就進一步深化對口援藏工作、推動兩院合作進行了交流。6月25日上午,西藏民族大學護理師資科研能力提升培訓班在西藏民族大學渭城校區第一教學樓1212會議室舉行。中山大學護理學院黨委書記陳昌齡、副院長張俊娥、黨委副書記滿意...

新聞投稿
大发体育网| 澳门百家乐必胜| 百家乐官网视频游戏注册| 大发888博爱彩| 网络真人赌博| 百家乐官网娱乐城游戏| 百家乐官网历史路单| 澳门顶级赌场百家乐| 百家乐官网变牌器| 澳门百家乐官网赌场娱乐网规则 | 澳门百家乐官网怎么| 百家乐优博u2bet| 88娱乐城网址tlyd| 最佳场百家乐官网的玩法技巧和规则| 金冠百家乐官网的玩法技巧和规则 | 有关百家乐官网玩家论坛| 广州百家乐赌博机| 百家乐赌场大赢家| 元游棋牌游戏大厅| 牌九百家乐官网的玩法技巧和规则| 太阳城百家乐的分数| 红9百家乐的玩法技巧和规则| 百家乐赌博论坛博客| 百家乐透明发牌靴| 凯旋门娱乐| 玩百家乐新澳门娱乐城| 博彩百家乐官网软件| 百家乐官网最好投| 百家乐官网的最佳玩| 澳门百家乐官网介绍| 新全讯网网址g5vvv| 圣淘沙娱乐城真人赌博| 什么百家乐平注法| 百家乐官网翻天粤语版| 百家乐官网计划软件| 百家乐赌博机| 百家乐赢一注| 百家乐官网打闲赢机会多| 余杭棋牌世界| 蓝盾百家乐具体玩法技巧| 皇冠走地|